-
Platform
Dall’Europa 2 milioni alla ricerca milanese per la diagnosi precoce del mieloma multiplo
Un Grant a Bolli, docente alla Statale ed ematologo dell’Istituto dei Tumori
di Redazione Open Innovation | 10/01/2019
Nell’ambito del programma Horizon 2020, il Consiglio Europeo per la Ricerca (ERC) ha assegnato un Grant ovvero un finanziamento di 2 milioni di euro per studiare la malattia a Niccolò Bolli, docente di Malattie del sangue al Dipartimento di Oncologia ed Emato-oncologia dell’Università Statale di Milano ed Ematologo dell’IRCCS Istituto Nazionale dei Tumori sempre di Milano. Sarà lui a guidare un gruppo di ricerca dedicato: un riconoscimento importante, da parte dell’Europa, delle competenze milanesi su questo fronte della ricerca oncologica.
Gli esperti si soffermeranno, in particolare, sulle cellule malate nei primi stadi dell’avanzare del tumore. Per farlo, i ricercatori cercheranno l’aiuto dei colleghi ortopedici ai quali verrà chiesto – previo apposito consenso dei pazienti – di mettere a disposizione il sangue midollare che viene scartato durante le operazioni chirurgiche, come ad esempio quelle all’anca. Le cellule passate al vaglio degli esperti verranno confrontate con quelle delle persone alle quali è appena stato diagnosticato un mieloma multiplo.
L’obiettivo, come ha spiegato lo stesso Bolli, è individuare la causa della trasformazione delle cellule prima che il mieloma si palesi: un elemento che potrebbe servire a sviluppare test genetici ad hoc, sia per la diagnosi precoce sia per la valutazione del rischio di forme tumorali aggressive.
A tutt'oggi, infatti, non è possibile stabilire strategie di prevenzione specifiche dal momento che non esistono fattori di rischio riconosciuti e spesso è impossibile una diagnosi precoce perché i sintomi e, in primo luogo, il dolore alle ossa, molte volte vengono giustificati dal paziente stesso come ‘malanni’ dovuti all’età.
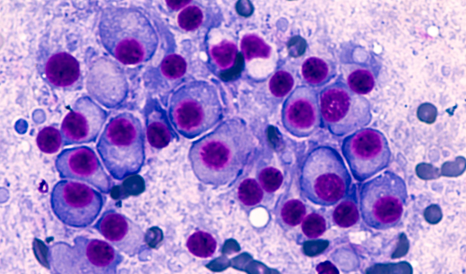
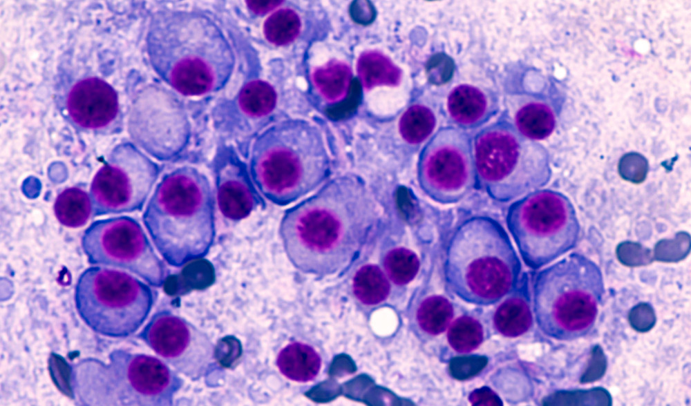
Il mieloma multiplo del resto insorge in genere dopo i sessant’anni. È al secondo posto per incidenza tra i tumori del sangue (ogni anno colpisce in Italia 3 mila nuovi pazienti), ed è causato dal danneggiamento del DNA di alcune cellule immunitarie (plasmacellule) che dovrebbero produrre anticorpi per difenderci dalle infezioni. I primi sintomi sono la fragilità e il dolore osseo, oltre alle fratture.
La nuova ricerca, in realtà, non partirà da zero: grazie a un finanziamento dell’Associazione Italiana per la Ricerca sul Cancro (AIRC), infatti, è appena stato terminato uno studio internazionale pubblicato sulla rivista Nature Communications e che Bolli ha coordinato con il collega ematologo Francesco Mauro.
La ricerca ha consentito di analizzare il genoma di persone con un mieloma asintomatico e ad alto rischio, scoprendo che anche nella fase che non produce sintomi, la malattia ha già tutte le caratteristiche che si porterà dietro una volta che i sintomi saranno, invece, evidenti.
Da qui la necessità di fare un passo ancora più indietro, andando a studiare i momenti più precoci di questa patologia. A oggi si sa che il mieloma multiplo vede una eccessiva produzione di paraproteina, un anticorpo rilevabile nel siero del paziente. Ciò nonostante, la conferma dell’esistenza del tumore è spesso complessa a causa della presenza di sintomi aspecifici o, in altri casi, di una forma silente della malattia.
Vuoi essere sempre aggiornato?
Partecipa attivamente, accedi a Open Innovation

